유머스트알엔디는 천연물 기반의 혈관질환 예방 및 치료용 기능성 소재 개발을 추진하고 있으며, 그 일환으로 누에 번데기 오일(SPO)을 개량하여 나트륨염 형태인 SPOS(Silkworm Pupae Oil Sodium salt)를 새롭게 제형화하였습니다.
SPOS는 고함량의 리놀레산(73.2%)과 α-리놀렌산(11.0%)을 함유한 불포화지방산 조성으로, 염증과 혈관 리모델링에 관여하는 PDGF-BB 자극에 대해 강력한 억제 효과를 보였습니다. 실제 혈관 평활근세포(VSMC) 모델에서 SPOS는 PDGF-BB 유도에 따른 세포 증식과 이동을 현저히 감소시켰으며, ERK1/2 신호전달의 인산화 억제를 통해 그 기전을 명확히 입증하였습니다.
이러한 결과는 SPOS가 죽상동맥경화증, 재협착, 고혈압 등 혈관 관련 질환의 예방 및 개선을 위한 기능성 소재로 활용될 수 있는 가능성을 제시합니다. 당사는 SPOS를 기반으로 하는 기능성 식품 및 의약용 파이프라인을 개발 중에 있으며, 향후 글로벌 건강소재 시장에서 차별화된 제품 경쟁력을 확보하고자 합니다.
[연구 내용 요약]
 | 누에 번데기 오일(Silkworm Pupae Oil, SPO)은 혈액순환 개선에 기여하는 생리활성이 보고되었지만, 혈관질환에 대한 보호 효과는 밝혀지지 않았음. 에스터화 및 가비누화 과정을 통해 나트륨염 형태(SPOS)로 제형화하였고, 불포화지방산 조성은 리놀레산(73.2%), 올레산(12.0%), α-리놀렌산(11.0%) 중심으로 분석됨. **PDGF-BB로 유도된 VSMC의 비정상적인 이동과 증식을 SPOS(30 μg/mL)**가 유의하게 억제함. ERK1/2 인산화 수준도 SPOS에 의해 현저히 감소, 이는 세포 이동 및 증식 억제와 연결된 기전임. SPOS는 기능성 식품 및 혈관질환 예방용 의약소재로 활용 가능성이 높은 후보임.
|
SPOS의 제조 관련 주요 기술 사항 정리 : 다음과 같은방법으로 제조가 가능함

[효능 및 연구 결과]
[1] SPOS는 PDGF-BB로 유도된 혈관 평활근세포(VSMC)의 이상 증식과 이동을 유의하게 억제하였다. 이는 SPOS가 죽상동맥경화증 및 재협착 예방을 위한 유망한 천연 유래 후보물질임을 시사한다.
Effect of SPOS on migration and proliferation of PDGF-BB stimulated VSMCs. VSMCs were treated with 30 µg/mL of SPOS and cultured in the presence or absence of PDGF-BB (10 ng/mL). (A) The graph shows the representative cell proliferation from four independent experiments. (B) The figures show the wound healing assay. Dotted white lines indicate the initial scratches and solid white lines indicated migrated cell (n&thinsp= 3). Results are presented as mean ± standard error. Values are not significantly different based on Tukey’s multiple range test (P < 0.05)
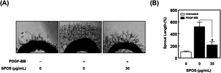
[2] SPOS는 PDGF-BB에 의해 유도된 ERK1/2 인산화를 용량 의존적으로 억제하였으며, 대동맥 고리 모델에서도 혈관 신생을 감소시켰다. 이는 SPOS가 ERK1/2 신호경로를 조절하여 혈관질환을 예방할 수 있는 기능성 치료 소재임을 나타낸다.

The effect of SPOS on migration and proliferation of PDGF-BB stimulated VSMCs. (A) Cell lysates were analyzed by immunoblotting with specific antibodies. (B) Statistical results obtained from panel A. The band intensities were evaluated and indicated the effect of SPOS on PDGF-BB-activated ERK1/2 phosphorylation (p-ERK). These values were normalized to total ERK1/2 (t-ERK 1/2). The basal levels of phosphorylation are deemed to be 100% (n&thinsp= 3). Results are presented as mean ± standard error. Values are not significantly different based on Tukey’s multiple range test (P < 0.05)
Effect of SPOS on PDGF-BB-induced aortic sprout growth. (A) The results were observed on day 5. (B) Statistical results obtained from panel A. The level of the untreated group was expressed as 100% (n&thinsp= 3). Results are presented as mean ± standard error. Values are not significantly different based on Tukey’s multiple range test (P < 0.05)
유머스트알엔디는 천연물 기반의 혈관질환 예방 및 치료용 기능성 소재 개발을 추진하고 있으며, 그 일환으로 누에 번데기 오일(SPO)을 개량하여 나트륨염 형태인 SPOS(Silkworm Pupae Oil Sodium salt)를 새롭게 제형화하였습니다.
SPOS는 고함량의 리놀레산(73.2%)과 α-리놀렌산(11.0%)을 함유한 불포화지방산 조성으로, 염증과 혈관 리모델링에 관여하는 PDGF-BB 자극에 대해 강력한 억제 효과를 보였습니다. 실제 혈관 평활근세포(VSMC) 모델에서 SPOS는 PDGF-BB 유도에 따른 세포 증식과 이동을 현저히 감소시켰으며, ERK1/2 신호전달의 인산화 억제를 통해 그 기전을 명확히 입증하였습니다.
이러한 결과는 SPOS가 죽상동맥경화증, 재협착, 고혈압 등 혈관 관련 질환의 예방 및 개선을 위한 기능성 소재로 활용될 수 있는 가능성을 제시합니다. 당사는 SPOS를 기반으로 하는 기능성 식품 및 의약용 파이프라인을 개발 중에 있으며, 향후 글로벌 건강소재 시장에서 차별화된 제품 경쟁력을 확보하고자 합니다.
[연구 내용 요약]
누에 번데기 오일(Silkworm Pupae Oil, SPO)은 혈액순환 개선에 기여하는 생리활성이 보고되었지만, 혈관질환에 대한 보호 효과는 밝혀지지 않았음.
에스터화 및 가비누화 과정을 통해 나트륨염 형태(SPOS)로 제형화하였고, 불포화지방산 조성은 리놀레산(73.2%), 올레산(12.0%), α-리놀렌산(11.0%) 중심으로 분석됨.
**PDGF-BB로 유도된 VSMC의 비정상적인 이동과 증식을 SPOS(30 μg/mL)**가 유의하게 억제함.
ERK1/2 인산화 수준도 SPOS에 의해 현저히 감소, 이는 세포 이동 및 증식 억제와 연결된 기전임.
SPOS는 기능성 식품 및 혈관질환 예방용 의약소재로 활용 가능성이 높은 후보임.
SPOS의 제조 관련 주요 기술 사항 정리 : 다음과 같은방법으로 제조가 가능함
[효능 및 연구 결과]
[1] SPOS는 PDGF-BB로 유도된 혈관 평활근세포(VSMC)의 이상 증식과 이동을 유의하게 억제하였다. 이는 SPOS가 죽상동맥경화증 및 재협착 예방을 위한 유망한 천연 유래 후보물질임을 시사한다.
Effect of SPOS on migration and proliferation of PDGF-BB stimulated VSMCs. VSMCs were treated with 30 µg/mL of SPOS and cultured in the presence or absence of PDGF-BB (10 ng/mL). (A) The graph shows the representative cell proliferation from four independent experiments. (B) The figures show the wound healing assay. Dotted white lines indicate the initial scratches and solid white lines indicated migrated cell (n&thinsp= 3). Results are presented as mean ± standard error. Values are not significantly different based on Tukey’s multiple range test (P < 0.05)
[2] SPOS는 PDGF-BB에 의해 유도된 ERK1/2 인산화를 용량 의존적으로 억제하였으며, 대동맥 고리 모델에서도 혈관 신생을 감소시켰다. 이는 SPOS가 ERK1/2 신호경로를 조절하여 혈관질환을 예방할 수 있는 기능성 치료 소재임을 나타낸다.
The effect of SPOS on migration and proliferation of PDGF-BB stimulated VSMCs. (A) Cell lysates were analyzed by immunoblotting with specific antibodies. (B) Statistical results obtained from panel A. The band intensities were evaluated and indicated the effect of SPOS on PDGF-BB-activated ERK1/2 phosphorylation (p-ERK). These values were normalized to total ERK1/2 (t-ERK 1/2). The basal levels of phosphorylation are deemed to be 100% (n&thinsp= 3). Results are presented as mean ± standard error. Values are not significantly different based on Tukey’s multiple range test (P < 0.05)